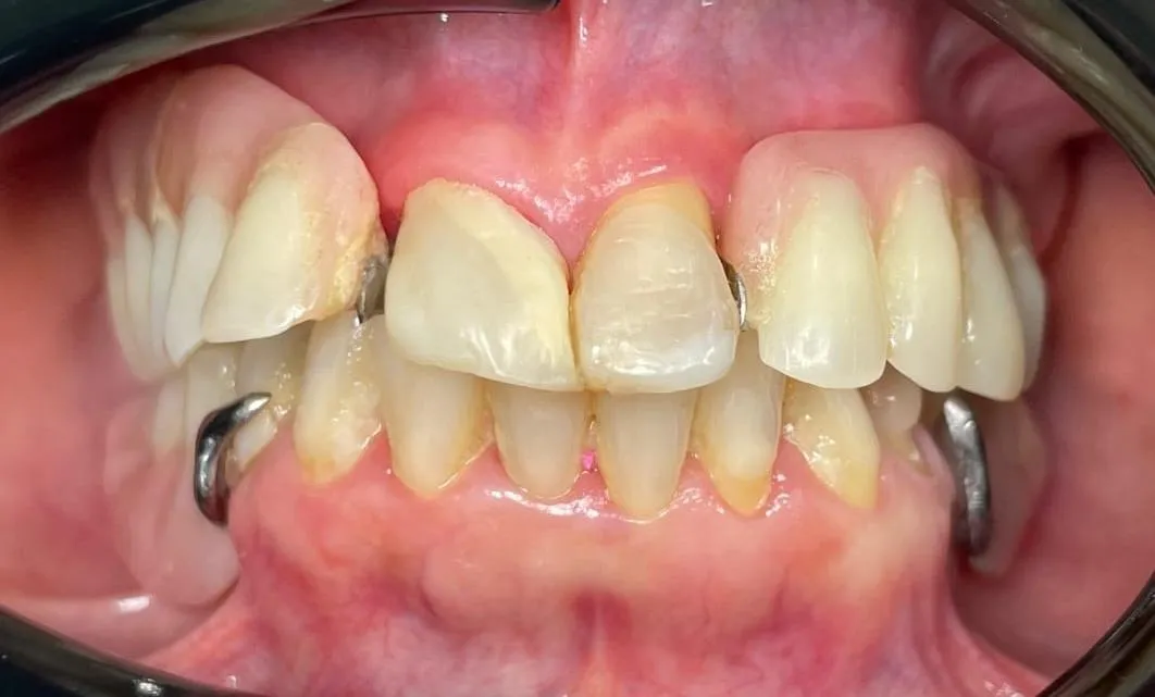
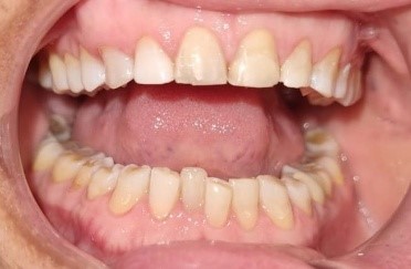
Sabes hacer tratamientos, pero dudas al planificar Rehabilitación Oral.
No siempre estás seguro de qué tratamiento indicar.
Sientes que podrías ganar más, pero algo te frena.
Te falta un orden claro para cerrar casos complejos.
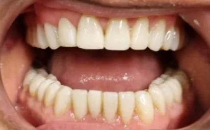
Quieres resultados estéticos sin comprometer la función.








Seguridad al realizar planes de tratamiento.
Decisiones clínicas correctas.
Más unidades de trabajo.
Mayor aceptación de tratamientos.
Crecimiento profesional y económico
Confianza frente al paciente.
🔹 4 módulos estructurados paso a paso
🔹 Más de 60 clases
🔹 Modalidad 100% online
🔹 Enfoque teórico – práctico
🔹 Acceso sin límite de edad
🔹 Aprendes a tu ritmo
✔ Cirujanos dentistas de práctica general
✔ Dentistas que quieren ordenar sus conocimientos
✔ Profesionales que desean cerrar Rehabilitación Oral sin miedo
✔ Dentistas que buscan mayor rentabilidad clínica
Haga click AQUÍ y comience su transformación HOY mismo